Brain Damage Detection: MRI Uncovers the Hidden

Brain,Damage,Detection,Uncovers,Hidden

can mri detect brain damage, can mri detect brain damage from alcohol, can mri show brain damage, can mri see brain damage, does mri detect brain damage, can mri determine brain damage, do mri's show brain damage, would an mri show brain damage, can mri scan detect brain damage, can an mri show brain damage from lack of oxygen

Can MRI Detect Brain Damage?

Have you ever wondered if that persistent headache could be something more sinister lurking beneath the surface of your brain? Magnetic Resonance Imaging (MRI) offers a glimpse into the intricate workings of our brains, but can it detect the silent damage lurking inside?

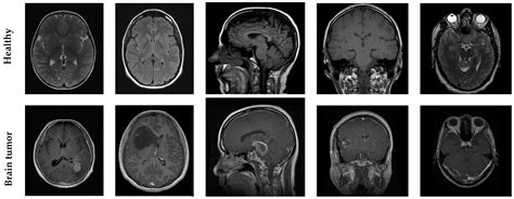
Ever wondered how a tiny dent on the road can lead to a fractured skull? Well, an MRI is like an advanced x-ray, capturing the intricate architecture of your brain in stunning detail. It can unveil abnormalities like tumors, bleeds, or structural damage.

But is it always accurate? Could a harmless-looking bump on your MRI mask a deeper issue? The answer is: it's not quite that simple.

Imagine looking at a complex puzzle with missing pieces. An MRI shows you the bigger picture, but sometimes those missing pieces are crucial for the complete story. That's why additional tests and assessments are often needed to confirm the presence of brain damage.

While MRIs are highly effective for detecting large-scale damage, some subtle forms of harm may escape their grasp. Mild traumatic brain injury (MTBI) - that concussion you might have forgotten - might not be readily identified by an MRI.

Did you know... approximately 2.5 million Americans suffer from MTBI every year? Yet, 80% of those cases go undiagnosed or under-diagnosed?

So, while an MRI can offer valuable insights into brain health, it's just one piece of the puzzle. Combining it with other assessments, such as neurocognitive tests and clinical evaluation, provides a more comprehensive picture of your brain's wellbeing.

Ultimately, an MRI can be a powerful tool in detecting various forms of brain damage, offering hope and early intervention for those who need it most. But remember, it's just one part of the equation. For comprehensive brain health evaluation, consult with a healthcare professional and explore a full suite of diagnostic options.

Brain Damage Detection: MRI Uncovers the Hidden

Image:

MRI for Brain Damage Detection

The intricate workings of the human brain are susceptible to diverse forms of damage, leading to cognitive deficits and functional impairments. Advanced Magnetic Resonance Imaging (MRI) technology plays a crucial role in detecting such damage and guiding patient management. While the clinical application of MRI for brain damage detection is well established, the mechanisms and subclinical changes identified by this modality often remain uncertain.

1. Assessing Structural Abnormalities

MRI detects structural abnormalities indicative of brain damage, such as:

  • Lesions caused by infection, stroke, or trauma
  • Tumor growth and its impact on brain architecture
  • Degeneration and atrophy of brain tissue
  • Vascular abnormalities impacting blood flow to the brain

2. Detecting Functional Changes

Beyond structural changes, MRI can also detect functional abnormalities associated with cognitive dysfunction, such as:

  • Reduced cerebral blood flow
  • Disruptions in neural connectivity
  • Abnormalities in brain metabolism and oxygen consumption
  • Evidence of inflammation and neuronal damage

3. Early Detection and Progression Monitoring

MRI enables early detection of neurodegenerative diseases like Alzheimer's and Parkinson's, allowing for timely intervention and treatment. It also aids in monitoring disease progression and assessing treatment effectiveness.

4. Personalized Diagnosis and Management

MRI findings are essential for personalized diagnosis and management of brain disorders. This information guides treatment decisions, including medication adjustments, surgical interventions, and rehabilitation therapies.

5. Detecting Subclinical Damage

MRI can reveal subclinical alterations in the brain that may not be apparent on clinical examination or neurological testing. This capability is crucial for detecting early signs of disease, optimizing treatment outcomes, and implementing preventive measures.

Frequently Asked Questions (FAQs)

1. What are the limitations of MRI for brain damage detection?

MRI findings can be affected by factors such as imaging artifacts, movement artifacts, and variations in scanning protocols.

2. Who should undergo an MRI for suspected brain damage?

Individuals with symptoms suggestive of brain injury, neurological disorders, or cognitive decline should consider undergoing an MRI.

3. How long does an MRI scan take?

The scanning process typically takes about 30-60 minutes.

4. What are the risks associated with MRI?

MRI involves the use of strong magnetic fields, which can pose risks to implants and medical devices.

5. What should I do before an MRI scan?

Avoid metallic objects (jewelry, dental implants) and inform the technician of any implanted devices.

Conclusion

MRI technology has revolutionized brain damage detection, enabling clinicians to visualize and quantify structural and functional abnormalities. By providing valuable insights into the inner workings of the brain, MRI plays a pivotal role in diagnosis, treatment, and monitoring various neurological disorders. Through early detection and intervention, MRI empowers healthcare professionals to improve patient outcomes and enhance quality of life.